μ-Scan+新一代微米成像技术
新一代微米成像技术大大提高了器官和病变的可见性。高清对比度分辨率将抑制斑点噪声,同时保持真实的组织结构。
彩色多普勒超声诊断系统
广告
凭借云顶集团官网先进的成像技术和优异的探头技术提供的清晰的图像表现,您可以更自信地做出临床决策。
新一代微米成像技术大大提高了器官和病变的可见性。高清对比度分辨率将抑制斑点噪声,同时保持真实的组织结构。
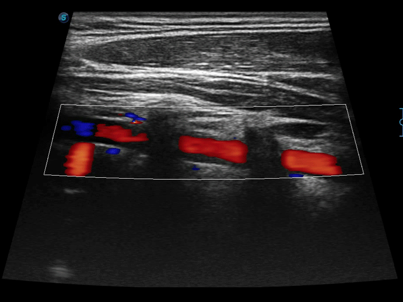
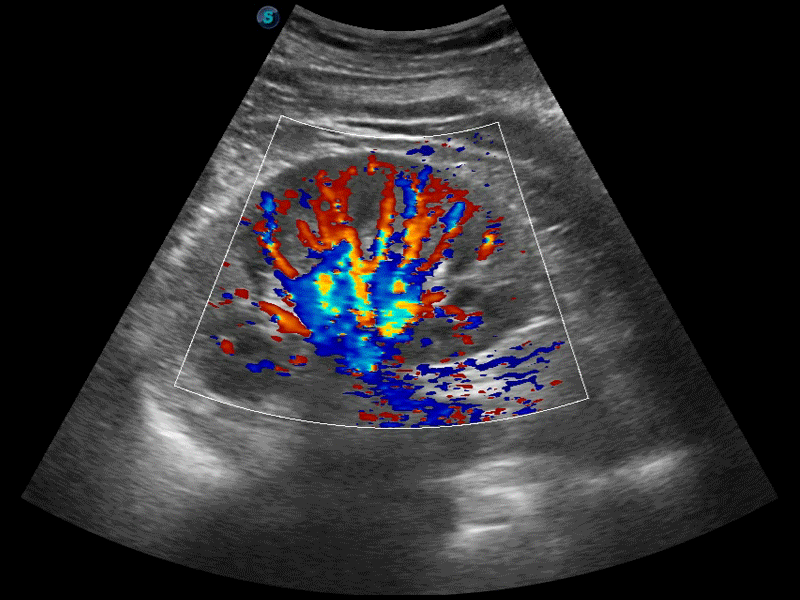
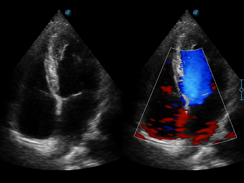
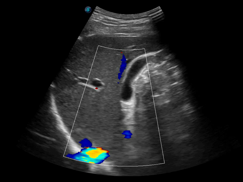
高分辨率血流成像技术提高了对低速血流信号的检测能力。在提高空间分辨率的同时,也克服了血流外溢现象,为用户提供更加真实的血流动力学信息。
凸阵、线阵和相控阵探头进行实时扫描时,开启扩展成像模式,可以扩展超声图像视野,以便更完整地查看大的病灶或组织器官的解剖结构。
通过色彩血流和实时宽景相结合,可观察到完整的静脉或动脉的血流,方便医生检查。实时扫查过程中,如有任何操作失误也可以很容易地进行回扫擦除,而不会中断扫查。
S-Fetus基于大数据深度学习算法,能够帮助您在产前筛查过程中智能识别胎儿标准切面、自动测量并录入报告。一个按键,即可智能、精准、高效地获取胎儿生理指标,极大简化您的产科检查操作。
可快速对产科扫查切面完成胎儿生理学参数的自动测量,减少操作者按键次数,大幅提升检查效率。
自动识别颈项透明层并获得NT值,为早孕胎儿畸形筛查提供有效测量工具,提高诊断效率和诊断信心。
膀胱自动测量,一键式膀胱壁追踪和容量测量可有效提供更精确的轮廓和结果,不受膀胱形状和大小的影响。
自动优化快捷按键,实现成像参数自动优化,减少您调参花费的时间,可用于二维、彩色和频谱的一键优化。
可定制扫描协议有助于简化工作流程,同时提高标准化并减少按键时间。
自动识别前后壁内膜厚度,为心血管疾病早期评估提供快速准确依据。
自动识别收缩和舒张末期心肌内膜,自动计算射血分数EF值。
21.5 英寸 LED 显示器
13.3 英寸触摸屏
上下升降左右旋转控制面板
可调温耦合剂加热器
可拆卸大容量电池
隐藏式抽拉键盘
教学软件可为您提供操作手法示意图、解剖结构示意图、标准超声图像示例,帮助您快速掌握超声检查标准切面。
可实现移动端设备与机器的无线连接,实现超声图片无线传输以及实时检查屏幕共享,促进医患交流。
主机内置远程会诊功能,一键开启,即刻享受优质服务。
禁忌内容或者注意事项详见说明书

微信公众号
0188-22223333
400-800-8820
版权所有 @云顶集团官网 苏ICP备20008866
互联网电子信息服务资格证书[(苏)-非经营性-2002-0888